病院で外来をしていると、「体が黄色いんじゃないの」と言われたため受診される患者さんがいます。診察してよくよく話を聞くと、カロテンを摂取しすぎるためにおこる柑皮症※の患者さんもみえますが、本当に黄疸の方もいます。柑皮症の場合は白目(眼球結膜)は白いままですが、黄疸は白目のところも黄色くなります。当院は高齢の患者さんが多いため、しばしば閉塞性黄疸(以下参照)の患者さんが受診されます。今回は、これについてお話をさせていただきます。
※柑皮症:みかんなどのカロテンを含む食品やサプリメントの過剰摂取によっておこる、皮膚がオレンジ色なる所見です。柑皮症はオレンジ色になるだけで病的なものではありません。
では、なぜ体が黄色くなるのでしょうか?
皮膚などの体に黄色い色素(ビリルビン)が沈着し黄色く見える所見です。

図1
この①~③のどこかに異常が生じると黄疸となります。

図2
肝臓から十二指腸までの胆汁が流れる胆管に何らかの異常が生じ、胆汁の流れが悪くなったためにおこる黄疸です。代表的な病気としては、総胆管結石、膵癌や胆管癌などがあります。それらの閉塞性黄疸に対し、内視鏡を使い黄疸を改善することができます。
閉塞性黄疸は肝臓から十二指腸までの胆汁が流れる胆管が詰まっているためにおこるので、詰まりを取る処置をすれば黄疸は良くなります。
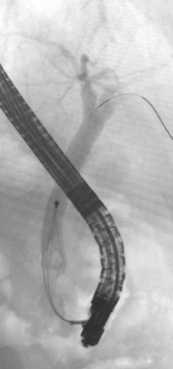
内視鏡的十二指腸乳頭切開術(EST)や拡張術(EPBD)~砕石術(図2)
主に総胆管結石による閉塞性黄疸の時に行います。内視鏡を使い十二指腸にある胆管の出口を広げ胆管内にある総胆管結石を取り出す治療です。

図3
膵癌や胆管癌により胆管を閉塞する病気がある場合に行います。内視鏡を使い十二指腸にある胆管の出口から、腫瘍などにより細くなった胆管の部位にステント(ストローのような細いプラスチックの管やスプリングのような胆管を広げる金属)を挿入します。
これらの処置により黄疸は改善しますが、原因となる病気の根本的な治療ではありません。そのため、黄疸や体の状態が良くなってから、原因となっている病気に対し、手術(切除)や抗がん剤などの治療を検討します。