病院レター第119号 2025年11月1日

循環器内科部長 清水敦哉
我が国にはおよそ100万人の心房細動(心房の各所が無秩序に興奮している状態)患者が存在すると推定されており、ありふれた疾患である心房細動ですが、ノックアウト型脳梗塞と呼ばれる寝たきり移行率の極端に高い脳梗塞を起こすことが問題視されています。心房細動のメカニズムは現在でも十分に解明されているとはいえませんが、1998年に、肺静脈付近から命令が頻回に出ることによって心房細動が生じていることが多いことが分かりました。肺静脈周囲を焼灼(肺静脈隔離)などを行うことによって、心房細動を治療できる場合があります。当循環器内科ではこのカテーテルアブレーション治療を、これまでに当センターで実施されてきた高齢者医療における研究成果を最大限に活かしながら、安心かつ安全な体制で提供しています。
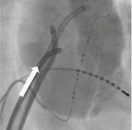
首や鎖骨の下、足の付け根などから細いカテーテルといわれる治療用の器具を心臓に挿入します(下図)。静脈を通して電極カテーテルという直径2mm程度の細いチューブを3から5本心臓の中に進め、肺静脈、洞結節付近、房室結節付近、右心室、冠静脈洞内部などに不整脈の回路を同定するために配置します。
治療用の特殊な電極カテーテルを不整脈の原因となっている組織に密着させ、その先端に高周波を流し、50から60℃に熱します。心臓の筋肉が薄い部分では痛みを感じることがあります。患者によって異なりますが、治療の所要時間はおよそ数時間で入院期間は3泊4日です。一回の手術で7から8割の確率で心房細動が根治し、生涯にわたって心房細動から解放されるといわれています。
実は国民皆保険制度下の日本においても、心房細動治療の実施率には地域による格差が存在すること、そしてこのような地域間格差が、各地区の不整脈専門医の有無に依存することを、当科の上原らが日本循環器学会公式英文雑誌であるCirculation Reportsにごく最近、報告しています(Kamihara T, et al. Circ Rep. 2025 May 17;7(7):512-520.
)。

これは心房細動患者の多くが高齢者のために、居住地区外の医療機関への通院や入院を避ける傾向にある可能性を示唆するものと考えられます。以前は、当センターのある大府・東浦地域は、心房細動治療を実施する医療機関がなかったため、心房細動治療の実施率は周辺と比べて低い実施状況にありました。このような背景を考慮すると、当センターでカテーテルアブレーションを開始したことは、地域の皆様に身近な病院で治療できる選択肢を提示できるという点から、非常に意義のあるものと考えています。併せて高齢患者特有の心理的・身体的訴えを客観的に特定し、細やかな高齢者ケア実施のために特に留意するべき箇所を明らかとするべく、当センターで実際にカテーテルアブレーションを受けられた患者の様々な声をテキストマイニングで詳細に分析して国際英文誌に発表 (Kamihara T, et al. Geriatr Gerontol Int. 2025 Jun 23.
)しました。得られた結果の一部は、すでに当センターの心房細動治療の患者に対する日々の看護に生かされています。
私たち国立長寿医療研究センター循環器内科は、多くの高齢患者に公平かつ不安のない医療が提供されることを目指しています。荒井秀典理事長や、松浦俊博病院長の強いバックアップで、心房細動に関する唯一の根治療法であるカテーテルアブレーションも2024年に開始することができ、2025年の年の瀬までには合計100件に到達する見込みです。
私たちは、地域の皆様に臨床だけでなく、研究で培った知見も最大限生かし、最高水準の医療を提供することを最も重要な課題と考えて活動しています。当センター循環器内科は、地域医療の一翼を担う先生方と協力し、心房細動に苦しむ患者に最高水準の医療を提供することを目指しています。
長寿医療研究センター病院レター第119号をお届けいたします。
今回は循環器内科から心房細動克服に向けての取り組みを執筆していただきました。レター内にも書かれていますが、心房細動は寝たきり移行率が極端に高い脳梗塞を引き起こすリスクがあることが明らかとなっています。
当センターでは、心房細動の患者さんに対してカテーテルアブレーションを行っています。また、入院を通じて得られたデータを解析して、高齢者におけるカテーテルアブレーションの手技や治療上の問題点などを明らかにして、その克服を目指しています。
心房細動でお困りの患者さんがいらっしゃいましたら、是非循環器内科にご相談ください。
病院長 松浦俊博