病院レター第80号 2019年5月20日

在宅・口腔ケア開発室 室長
大野友久
ビスホスホネート(Bisphosphonate、以下BP)製剤やデノスマブによって生じる重篤な有害事象として、顎骨壊死(Osteonecrosis of the Jaw、以下ONJ)の発症が問題となっています。以前はBPによるONJの発症が多かったので、BP-Related Osteonecrosis of the Jaw:BRONJと呼ばれておりましたが、現在は原因にデノスマブが追加され、そして血管新生抑制作用を持つ抗がん剤のベバシズマブなども含まれてきており、Anti-resorptive agents-related ONJ:ARONJ、あるいはMedication-related ONJ:MRONJなどと呼ばれるようになってきております。表1にONJに関連する薬剤の一覧を示します。ONJの特徴は口腔粘膜への顎骨の露出が持続することです。
| 目的 | 分類 | 一般名 | 製品名 |
|---|---|---|---|
| 骨粗鬆症治療 | ビスホスホネート | アレンドロン酸 | フォサマック |
| アレンドロン酸 | ボナロン | ||
| リセドロン酸 | アクトネル | ||
| リセドロン酸 | ベネット | ||
| ミノドロン酸 | ボノテオ | ||
| イバンドロン酸 | ボンビバ | ||
| ゾレドロン酸 | リクラスト | ||
| 抗RANKL抗体 | デノスマブ | プラリア | |
| 骨転移治療 | ビスホスホネート | ゾレドロン酸 | ゾメタ |
| 抗RANKL抗体 | デノスマブ | ランマーク | |
| 抗がん治療 | 抗VEGF抗体 | ベバシズマブ | アバスチン |
ジェネリック薬剤は含めず、よく使われる薬剤を挙げた。
当然ですがONJが生じやすいのはBPやデノスマブを投与される患者さんになります。骨粗鬆症患者さん、骨転移があるがん患者さんが対象の多くを占め、高カルシウム血症患者さんや骨パジェット病患者さんも含まれます。その中でも、このレターを読んでいる皆様に最も関係が深いのはやはり骨粗鬆症患者さんと考えられますので、そちらを主にして話を進めさせていただきます。
日本骨代謝学会や日本骨粗鬆学会、日本口腔外科学会などが共同で作成した「骨吸収抑制薬関連顎骨壊死の病態と管理:顎骨壊死検討委員会ポジションペーパー2016」(以下、ポジションペーパー)ではリスク因子として表2 に示した事項を挙げています。これらのリスク因子がある患者において、抜歯など顎骨が露出する侵襲的・観血的処置を行うことがONJ発症の誘因となると言われています。なお、その他の歯科処置、例えば歯の詰め物を入れる、被せものを装着する、入れ歯を作るなどは問題にならないことがほとんどです。
| 1.局所性 | 骨への侵襲的歯科治療 |
|---|---|
| 不適合義歯、過大な咬合力 | |
| 口腔衛生状態の不良、歯周病などの炎症性疾患など | |
| 2.骨吸収抑制剤 | |
| 3.全身性 | がん |
| 糖尿病、関節リウマチ、低Ca血症、副甲状腺機能低下症、骨軟化症、ビタミンD欠乏、腎透析、貧血、骨パジェット病 | |
| 4.先天性 | MMP-2遺伝子、チトクロームP450-2C遺伝子などのSNP |
| 5.ライフスタイル | 喫煙、飲酒、肥満 |
| 6.併用薬 | 抗がん剤、副腎皮質ステロイド、エリスロポエチン |
| 血管新生阻害剤 | |
| チロシンキナーゼ阻害剤 |
ポジションペーパーより(一部改変)
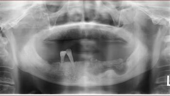
前述した通り、口腔粘膜への顎骨の露出が最大の特徴です。そこに口腔内細菌による感染が伴うと、周囲歯肉の腫脹や排膿、疼痛を伴うようになります。写真1 はデノスマブによるONJ症例ですが、左下顎に広範囲のONJが生じています。歯科用パノラマX線写真を撮影すると写真2 のように写ります。左下顎に広範囲の透過像が認められ、顎骨表面だけでなく内部にも壊死が進展しているのがわかると思います。

写真1:デノスマブによるONJ症例

写真2:歯科用パノラマX線写真
ポジションペーパーによると、骨粗鬆症患者において、BP 経口投与患者では10 万人年あたり1 .04~69 人、静注投与で0~90 人とされ、デノスマブも同程度のようです。10 万人年とは10 万人を1 年間追跡した場合に新たに罹患する割合のことです。それとは基準が異なるので比較しにくいのですが、がん患者の場合は少し頻度が高く、デノスマブ投与患者で1 . 8%、ゾレドロン酸投与患者で1 . 3%のONJ 発症が報告されています。いずれにしても大雑把で数値の幅も広く、発症率は明確ではないというのが現状です。
ポジションペーパーによるとONJ の治療は、
が推奨されています。具体的な対応を挙げると、1.はB P、デノスマブの投与中止、代替薬への切り替えが必要になります。2.については抗菌薬の投与やON J 部の局所洗浄処置、局所抗菌薬投与にて対応します。3.は歯科による定期的なフォローアップと口腔衛生管理・教育(つまりブラッシング指導など)という対応になります。しかし、一度発症すると難治性であり、発症してからの対応よりも、発症しないようにすることが重要です。
ONJ は予防が大変重要です。BP などの投与前に抜歯すべき歯は抜歯し、その他にもう蝕や歯周病など抜歯に繋がる可能性のある口腔内疾患を先に対応しておくことが必要となります。口腔衛生管理を徹底するように指導することも重要です。従って、BP などの投与前に歯科受診が必要となり、医科歯科連携が大切になります。もしすでにBP などが投与されている患者さんで侵襲的歯科処置が必要となった場合は、意見の分かれるところではありますが、投与歴4年以上の患者さんは前後2 か月の休薬をポジションペーパーでは提唱しています。当科では口腔衛生処置を十分行った上で、投与期間に関わらず可能であれば前後2か月間の休薬をお願いしています。このレターをお読みの先生の中にも、休薬依頼をさせていただいた先生がいらっしゃると思います。いつもご協力ありがとうございます。この場を借りて御礼申し上げます。また、最近の骨粗鬆症薬では半年に1 回投与(デノスマブ)、1 年に1 回投与(ゾレドロン酸)などもあり、休薬をどうしたらよいのか指標が明確ではない薬剤もあります。その場合、可能であれば次回投与の直前(半年後、あるいは1 年後)に抜歯するようにしております。しかし、そこまで待てない場合も多く、O NJ についてよく説明した上で同意を得て、早めに抜歯することもあります。エビデンスの集積、ポジションペーパーの改訂が待たれるところです。なお、当科では骨転移患者さんではときどきありますが、今のところ骨粗鬆症患者さんではONJの発症はありません。
このようにMRONJ はわからないことが多い状況ですが、一つ確かなことは口腔衛生管理や事前の抜歯などの予防が重要で、そのためには医科歯科連携が大切であるということです。私が書くまでもなくBPやデノスマブは、骨折による寝たきりを予防し、健康寿命を延伸させるなど大変有用な薬剤です。それだけにONJという有害事象は残念なものではありますが、これを契機に整形外科や内科などの医科と歯科の連携が深まり、発展してロコモやフレイルなどの領域での医科歯科連携に繋がると良いと思っています。
- 顎骨壊死検討委員会。骨吸収抑制薬関連顎骨壊死の病態と管理:顎骨壊死検討委員会ポジションペーパー 2016.1-16.2016.
長寿医療研究センター病院レター第80号をお届けいたします。
ビスホスホネート製剤やデノスマブは、骨粗鬆症治療の中心的な治療薬で、骨粗鬆症の患者さんにとっては欠かすことのできない画期的な薬剤です。一方で頻度は高くないとはいえ、今回紹介されたような問題が明らかになってきました。大野先生が指摘しておられるように、このような病態があることを知っていることと、口腔衛生管理や事前抜歯といった予防が重要で、そのためには医科歯科連携が大切であるという点は、あらためて強調されるべきと感じました。当センターも予防医療に力を入れるとともに、医科歯科以外にも、あらゆる領域、あらゆる職種と深い連携を目指していきたいと思います。今後もよろしくお願いいたします。

病院長 鷲見幸彦